

为积极响应国家政策,进一步提升县级医院各科室的综合救治能力,加强县级医院与省级医院的沟通协作,湖南省儿童医院于2023年9月派出心胸外科、病理科的团队来我院相关科室开展对口支援工作,与上半年派驻的队伍汇合,形成了覆盖心胸、重症、新生儿、疑难综合、康复、病理、超声等亚专科的支援团队。


9月14日,专家们胜利会师。早上8点,省儿童医院派驻医生与对应科室医护人员一起参与交班,充分了解科室病人病种分布情况,熟悉科室规章制度及环境氛围,彻底融入集体,更好的服务患者。


新生儿科,专家们对一例足月小样儿进行了查房,患儿甲状腺功能明显异常,为进一步排查有无甲状腺肿大,立即联系超声科专家完善了甲状腺彩超,在明确有异常后,专家指导新生儿科医生开始治疗及后续的随访。而影像中心的专家们也忙得热火朝天,来做彩超的小朋友络绎不绝,他们既要哄着小朋友,又要快速完成超声检查,以便尽量减少小朋友的不适感。病理科派驻医生也开启了忙碌的一天,从快速病理切片到病理诊断,提供专业的指导,服务广大患者。重症科和康复科积极组织儿科进行三级查房,协助提高儿科临床医疗水平和规范临床工作。


胸外科医疗团队在晨会结束后,与科室医生一起巡视病房。在疑难、危重患者床旁进行详细的病情了解。其中有一位特殊的患者,发现肺癌并靶向治疗6月,因“胸痛4天”再次入院检查发现心包积液。经过积极的内科治疗后,患者病情无明显缓解,床旁体格检查发现患者有颈静脉充盈、心音遥远、脉压差减小,平卧位困难,全身有水肿表现。


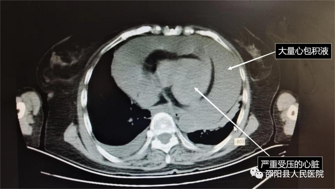
考虑该患者病情危重,心胸外科主任蒋绍军立即组织全科讨论。回顾病史,患者诊断肺癌6月,靶向药物治疗中,因出现胸痛再次入院,结合目前相关资料,考虑肿瘤所致的心包积液,经过治疗,大量心包积液未减少,目前已经出现心包填塞的症状。心脏彩超提示心包腔内大量液性暗区,心尖部深42mm,心脏活动明显受限;胸部CT也提示大量心包积液,心脏形态异常,功能受限。患者病情十分危重,随时可能出现生命危险,需要紧急手术进行心包开窗,解除心脏的压迫。因患者年龄大,既往有高血压病、冠状动脉粥样硬化性心脏病,在心包开窗时,还可能遭遇剧烈的血流动力学变化,手术过程中随时可能出现恶性心律失常、心脏骤停、心脏破裂等严重并发症,手术风险大,但手术时间却不容推迟。蒋绍军主任与湖南省儿童医院派驻医生立即进行商讨,并紧急联合麻醉手术科,制定了详细的手术计划,再向患者家属进行沟通并取得家属的同意,立即安排了急诊手术。


上午九时许,患者进入手术室,充分完善相关准备后开始手术。在湖南省儿童医院派驻医生的辅助下,以蒋绍军主任为首的胸外科医疗团队迅速建立胸腔镜辅助切口,通过胸腔镜观察到患者的心包明显增大,避开膈神经后,在心包裸区切开一个小口,立即见暗红色血性心包积液喷出,说明心包内压力非常大,心脏受压严重,颜色性质也符合肿瘤性心包积液的改变;予以控制切口缓慢释放心包积液,同时药物维持血流动力学平稳,最终引流出的心包积液总量达到了1100ml,幸好手术及时,不然后果不堪设想;最后在心包裸区剪除部分心包进行心包开窗,放置心包引流管及胸腔引流管,逐层关胸,手术顺利,术中患者生命体征维持稳定,术后快速苏醒后,安返病房,目前康复治疗中。


近年来,我院与上级医院开展紧密型医联体合作,不断提升医疗服务能力。湖南省儿童医院医院作为湖南儿科医联体的牵头单位,一直秉持将优质资源扩容下沉、有效帮扶、稳步推进、共同提升的工作原则,着力提升基层医疗服务能力,实现双方共享共建共融,切实提升邵阳县人民的满意度和获得感。对于儿童及成人共患的疾病,湖南省儿童医院与我一直在努力打造更优的治疗方案,更好的服务广大的父老乡亲们。